İmplant (Vidalı Sistem)

Hızlı ve etkili vidalı sistem implant tedavisi ile eksik dişlerinizi tamamlayın

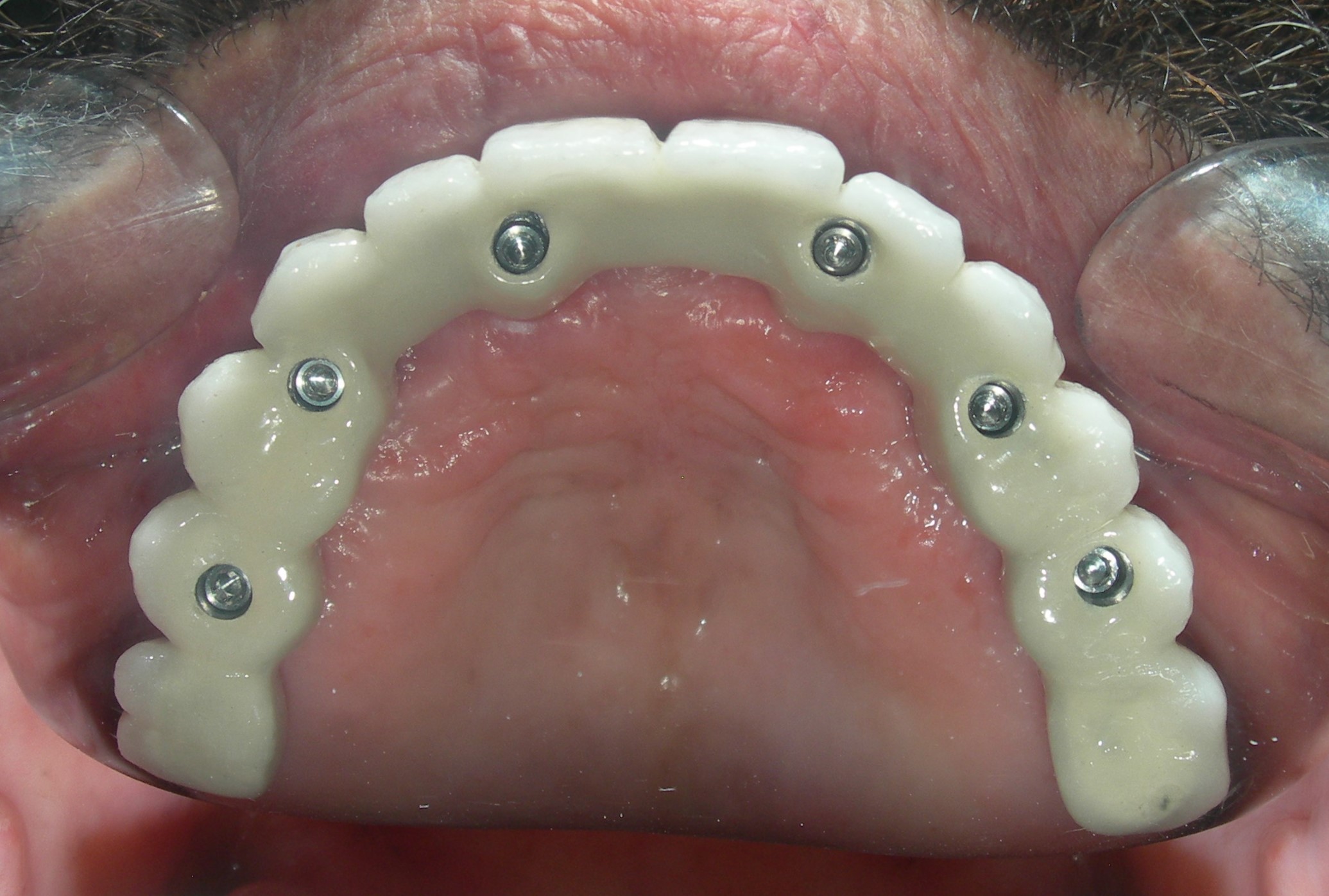
Vidalı sistem implant tedavisi, diş protezlerinin implant üzerine vidalama yöntemiyle sabitlendiği modern bir implant sistemidir. Bu sistem, simante sisteme alternatif olarak geliştirilmiş ve özellikle bakım ve değişim kolaylığı sağlamaktadır.

Vidalı sistemin en büyük avantajı, üst yapının (diş) gerektiğinde kolayca çıkarılıp temizlenebilmesi veya değiştirilebilmesidir. Bu özellik, bakım ve onarım işlemlerini çok daha pratik hale getirir. Ayrıca, vidalı sistem implantlar da simante sistem gibi yüksek estetik ve fonksiyonellik sunar.

İmplant yerleştirme işlemi lokal anestezi altında gerçekleştirilir ve hasta konforu ön planda tutulur. Kemik ile implant arasındaki kaynaşma süreci tamamlandıktan sonra üst yapı vidalama yöntemiyle yerleştirilir. Bu sistem, özellikle çoklu diş eksikliklerinde ve tam protez uygulamalarında tercih edilmektedir.

📞 Randevu Al